| 网站首页 | 医院概况 | 医院动态 | 科室介绍 | 专家介绍 | 医院管理 | 就医指南 | 科研教学 | 医院文化 | 健康园地 | 医院邮箱
医院邮箱
hnldzxyy@163.com |
|
|
|
【国家区域医疗中心建设】不插管 更微创!我院完成省内首台“无管经剑突下胸骨拉勾辅助单孔胸腔镜前纵隔肿瘤切除术”
近日,广州医科大学附属第一医院(以下简称广医一院)党委副书记、胸外科主任医师刘君教授团队联合我院心胸大血管外科团队,完成湖南省内首例“无管(Tubeless)经剑突下胸骨拉钩辅助单孔胸腔镜前纵隔肿瘤切除术”。手术的顺利开展,不仅为前纵隔疾病患者带来了更微创、更优质的治疗新选择,更标志着我院在心胸外科微创领域的技术水平迈上新台阶。
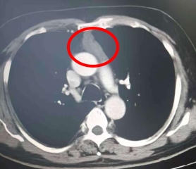
60岁的李先生(化名)近两年来深受胸闷、胸痛症状困扰,有时还出现呼吸气喘的情况,严重影响生活质量。两个月前,他慕名来到我院就诊,经胸部CT等详细检查后,被确诊为前纵隔肿瘤,肿瘤大小约51*19毫米。更棘手的是,该肿瘤位置较深,前方被胸骨遮挡,后方紧邻心脏、大血管等重要器官,手术操作空间狭窄,稍有不慎便可能引发严重并发症,手术难度极大。

术前CT显示前纵隔肿瘤
“传统纵隔肿瘤切除术对患者创伤较大、疼痛明显,术前需气管插管,术后还需留置尿管、胸腔引流管等多根管道,恢复周期较长,且感染风险较高。”我院心胸大血管外科学科主任、主任医师尹晓清介绍。
为给李先生制定合适的治疗方案,医院启动多学科会诊,组织专家团队开展全面细致的术前评估。经过反复研究和论证,团队决定采用“无管经剑突下胸骨拉钩辅助单孔胸腔镜前纵隔肿瘤切除术”。这一创新术式不仅能通过单一切口完成手术,还可以实现“无气管插管、无导尿管”的目标,降低患者手术创伤。
经过充分的术前准备,手术由刘君教授带领我院心胸大血管外科专家团队实施。在麻醉手术部的密切配合下,专家从剑突下做了一个约2.5厘米的单一切口,通过特殊胸骨拉钩装置精准抬高胸骨,成功扩大胸骨后间隙,为手术提供了充分的操作视野。医护团队细致分离肿瘤组织与周围组织,精准切除病变组织及周边的脂肪。整个手术过程出血量不足10毫升,耗时仅1小时便顺利完成。术后,李先生当天即可下床活动,疼痛症状明显缓解,恢复速度远超传统手术患者。


近年来,我院心胸大血管外科团队始终以技术创新为核心,在微创领域持续深耕,已先后完成多项“全市首例”高难度手术。这些技术的突破,一方面得益于国家区域医疗中心建设项目的持续推动;另一方面与广医一院等高水平医疗机构的深度帮扶协作密不可分。下一步,医院将继续以患者需求为导向,深化多学科协作,强化技术创新与人才培养,进一步发挥国家区域医疗中心建设引领作用,普及推广更多前沿微创技术,为守护湘中百姓身体健康,推动区域医疗服务能力整体提升注入更强动力。
医学科普
一、什么是纵膈肿瘤
纵膈,并非单一器官,而是一个特定的解剖区域。它位于双侧胸腔之间,前有胸骨遮挡,后靠脊柱支撑,上方连通颈部入口,下方直达膈肌。为了更精准地开展诊断与治疗工作,医学上将其划分为上、下、前、后四个区域。
这个区域堪称人体“生命器官的聚集地”,心脏及进出心脏的大血管、食管、气管、胸腺、神经和淋巴组织等重要结构都在此处。也正因为纵膈内组织器官丰富多样,所以这里可能出现多种类型的肿瘤。即便这些肿瘤初期体积较小,也可能对循环、呼吸、消化和神经系统的功能造成干扰,引发一系列健康问题。

二、纵膈肿瘤的临床表现
纵膈肿瘤的临床表现复杂多样,主要取决于肿瘤的大小和所处位置。有些肿瘤可能长期“隐匿”,不会引发任何明显症状;而有些肿瘤则会因压迫周围组织,导致多种不适。常见的临床表现如肿瘤压迫邻近气管会导致气促、干咳症状;肿瘤压迫食管会导致咽喉疼痛、吞咽困难症状;若肿瘤压迫神经发病时,会导致声音嘶哑、膈肌麻痹的症状。如肿瘤体积增大,压迫到上腔静脉,则引起的症状更为明显,会导致颜面部、胸部水肿,伴有静脉怒张等。
|
|
娄底市中心医院 版权所有 2006 备案号:湘ICP备11018487号-1 湘卫网申字(2011)第016号 地址:湖南省娄底市长青中街51号 制作维护:娄底市国联信息服务有限公司 娄底市中心医院 宣传外联部 乘车路线:市内1、3、6、11、13、19、20路公交直达 |
![]() 湘公网安备 43130202000120号 |
















